- Urologická klinika 3. LF UK a FTN - koncept
- • Informace o prováděných vyšetřeních
- Odběry
- Zobrazovací vyšetření
- Biopsie prostaty
- Cystoskopie
- Uroflowmetrie
- Urodynamické vyšetření
- Program časného záchytu karcinomu prostaty
Zobrazovací vyšetření
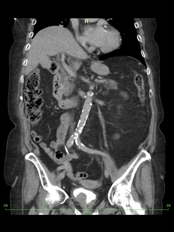
Počítačová tomografie (CT) s kontrastní látkou
- pavilon B5
- datum a čas určí lékař
- lačnost 4 hodiny
- žádanka vystavena elektronicky
Počítačová tomografie (CT) bez kontrastní látky - k vyloučení/potvrzení močových kamenů
- pavilon B2 v 7:15 pokud lékař neurčí jinak
- datum a čas určí lékař
- lačnost
- žádanka vystavena elektronicky
Magnetická rezonance prostaty
- pavilon X
- datum a čas určí lékař
- žádanka vystavena elektronicky
- 3 dny před vyšetřením se zdržte sexuální aktivity
- ráno před vyšetřením si prosím zaveďte do konečníku glycerínový čípek (volně prodejný, zakoupíte v lékárně)
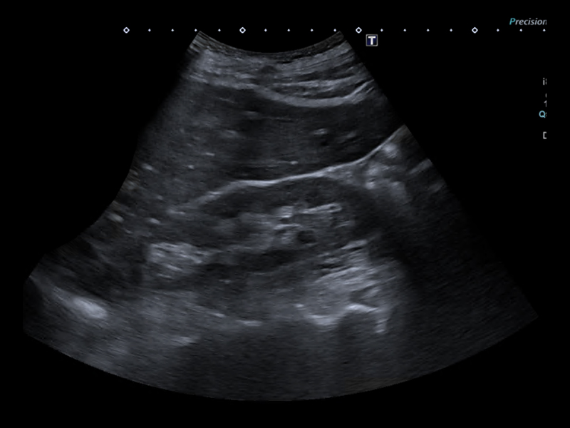
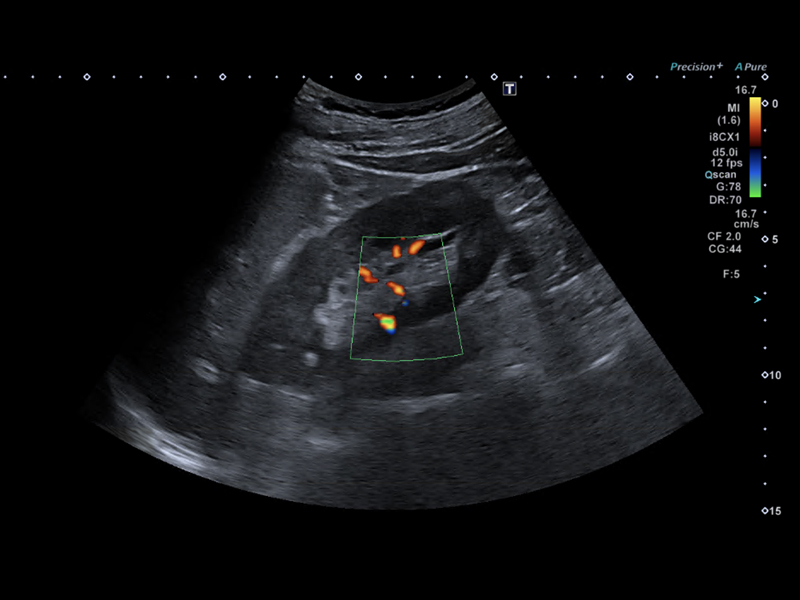
Ultrazvukové vyšetření radiologem
- pavilon B3 nebo B5
- lačnost
- žádanka vystavena elektronicky








